欢迎进入常州第二人民医院淋巴瘤-骨髓瘤之窗!
医疗特色 Characteristics
在线提问

姓名:卢绪章

性别:男

职称:主任医师

主任医师

姓名:肖溶

性别:女

职称:主任医师

主任医师

姓名:陈涛

性别:男

职称:主任医师

主任医师

您当前所在位置: 网站首页 > 医疗特色 > 典型案例
典型案例
美罗华与间质性肺炎
作者:二院 发布时间:2013-07-07 阅读次数:7539 字体[适中] []

病史概要

    患者:**,女,67岁,2013-02-17入院。  

    主诉: 
    确诊非霍奇金淋巴瘤两月余,入院治疗。

现病史:

    2012-12月初因发现发现左臀部肿块1月余、左胸部肿块10余天入院, 完善检查诊断为:弥漫性大B细胞淋巴瘤(非生发中心型,IIIA组,IPI 4分),于2012-12-20起给予RCHOP-3W方案(美罗华:0.6d1,强的松:100mg d2-6,多柔比星脂质体(里葆多)40mgd2,环磷酰胺:0.6 d2~3,长春地辛:4mg d2)化疗三个疗程,2013-1-29给予第三个疗程化疗。

既往史:

  30年前有子宫肌瘤剥除术史。20131月诊断糖尿病,患者不愿服降糖药,控制饮食。否认肝炎、结核等传染病史。

家族史

    否认家族恶性肿瘤病史。

体格检查【重点为专科情况和有意义的阴性查体结果】

   神志清,皮肤巩膜无黄染,浅表淋巴结未扪及,左胸壁外侧可见5cm陈旧性手术疤痕,心肺(-)。下腹正中可见陈旧性手术疤痕,肝脾肋下未触及,左臀部可及一肿块,类圆形,直径约3.0cm,界清,可推动,无压痛,质地韧,未及波动感。

实验室检查 【包括病理、免疫组化或表型等】

    术后病理示(2012-12,本院):(左胸部肿块)弥漫性大B细胞淋巴瘤。免疫组化:LCA(+)CD20(+)CD79a(+) Mum1(+)bcl-2(+)Ki67(+70%)CD3(-)CD45Ro(-)Bcl-6(-)CD10(-)CD30(-)CyclinD1(-)Pax5(-)浆细胞(-)

治疗前评估(201212月):

ECOG评分0
血常规、肝肾功能正常。
LDH348.3U/LHBDH285.2U/L
Β2微球蛋白2.50mg/L
肝炎病毒系列检查未见异常。
骨髓涂片未见肿瘤细胞,染色体、FISHECT骨扫描未见明显异常。
ECG:窦性心律。
心脏彩超:LVEF 62%
B超:双侧腹股沟可见淋巴结(右:0.6*0.4cm0.7*0.5cm,左侧:0.8*0.5cm)左侧胸壁(2.9*2.5cm)及左臀部混合性团块(5.3*4.9cm
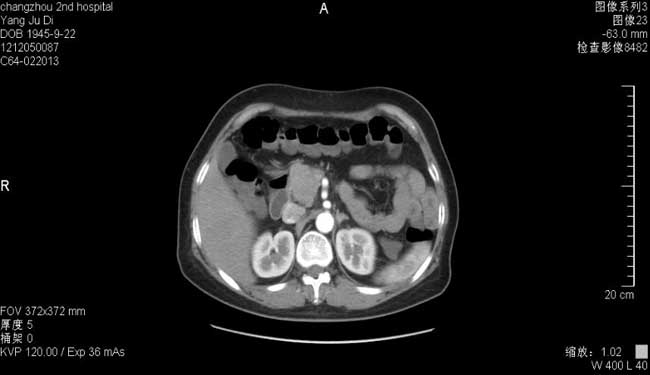
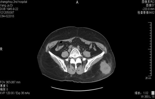
全腹部CT示:1.胰腺头颈部占位(4.0*3.5*3.5cm),MT可能,胰头后缘结节状软组织密度影,肿大淋巴结不除外。2.臀部多发肿块(最大5.6*3.6*5.5cm),转移可能大。3.胃底部胃壁可疑稍增厚,轻度食管裂孔疝?4.肝脏囊肿,左肾囊肿。5.胆囊小结石。 
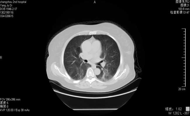
 胸部CT:左侧胸壁肿块术后,两肺纹理增多,右肺下叶陈旧灶 。

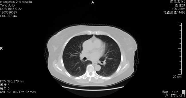
胸部CT(2013-12)

 

 

诊断

    非霍奇金淋巴瘤:弥漫大B细胞性(非生发中心型)
 IIIA组,IPI  4分,ECOGP评分  0

病情演变

患者本次拟第四疗程化疗入院,自觉乏力,入院后次日高热,体温高达39.00C,伴有咳嗽,无痰,无明显胸闷。查体:左肺 呼吸音粗,可闻及湿啰音。
 

辅助检查:

血常规:WBC:5.36*10^9/LN 75%, L 20%. HB 127g/L,PLT136*10^9
ESR70mm/h,
 CRP69.3mg/l
LDH258.9U/lHBDH212.1U/l,空腹血7.51mmol/l

血培养+药敏阴性。HIVTP均为阴性,Torch病毒系列无异常。结核感染T细胞阴性。

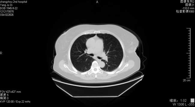
胸部CT(2013-2-19)

 

治疗经过    ü

ü肺炎给于左氧氟沙星+美洛西林钠舒巴坦抗感染治疗7天后,体温无好转,患者出现胸闷、气急,查血气分析:PH 7.47HCO329.8mmol/lBE5.6mmol/lSO2 89%,提示低氧血症,予吸氧,复查胸部CT提示肺部感染进展.
2013-2-25

2013-3-2

更改抗感染药物为拜复乐+SMZ+更昔洛韦,并给予氢化可的松0.1+丙种球蛋白10g*3天,经治疗患者体温正常,胸闷、气急好转,复查胸部CT肺部感染明显吸收。

2013-3-9

体温变化


诊断

      药物相关间质性肺炎 ?
      细菌、真菌、病毒等感染导致间质性肺炎?
      肺损伤与感染并存?
      化疗/CD20单抗抑制免疫加重潜在感染?

讨论

    间质性肺炎是以弥漫性肺实质、肺泡炎和间质纤维化为基本病理改变,以活动性呼吸困难、CT示双肺磨玻璃样影、肺弥散功能降低和低氧血症为主要临床表现的肺部炎症。

美罗华诱导的间质性肺炎(R-ILD)

发病时间

Clinical, computed tomography (CT) and histological findings in patients with acute or subacute rituximab-induced lung disease


本病例非常遗憾没有进行肺穿刺或肺泡灌洗,无病理学的金标准。 SMZ等抗感染有效,卡氏肺孢子虫肺炎(PCP)可能性大。但临床对使用利妥昔单抗及糖皮质激素治疗的淋巴瘤患者出现呼吸系统症状应加以重视,有必要动态监测胸部CT,可疑发生利妥昔单抗相关肺损伤时,应积极寻找病理学依据,及时应用糖皮质激素治疗。