欢迎进入常州第二人民医院淋巴瘤-骨髓瘤之窗!
医疗特色 Characteristics
在线提问

姓名:卢绪章

性别:男

职称:主任医师

主任医师

姓名:肖溶

性别:女

职称:主任医师

主任医师

姓名:陈涛

性别:男

职称:主任医师

主任医师

您当前所在位置: 网站首页 > 医疗特色 > 典型案例
典型案例
血液学相关疾病病例2
作者:二院 发布时间:2012-04-09 阅读次数:4649 字体[适中] []

病史概要

    患者性别: 男 年龄:49岁 身高178cm 体重 62kg 体表面积:1.80m2

主诉:

    发现颈部肿块10天

现病史

    患者十天前无意中发现右侧颈部肿块,无疼痛,无吞咽困难,十天来肿块逐渐增大,并出现呼吸困难,二天前无明显诱因出现刺激性呛咳,并逐渐加重,至夜间不能入睡,我院行B超示右侧颈部肿块,细针穿刺见:“大量肿瘤细胞,考虑非霍奇金淋巴瘤可能”为进一步诊治.

既往史

    1985年曾行阑尾切除术,有“乙型病毒性肝炎”病史,2010年9月化疗前查乙肝病毒定量拷贝数较高,予以“恩替卡韦”抗病毒治疗。

家族史

    否认家族中存在糖尿病、血友病等遗传性疾病史,否认结核等传染病史,否认其余恶性肿瘤病史。

体格检查【重点为专科情况和有意义的阴性查体结果】

    神志清,皮肤粘膜未见出血点、紫癜。右侧颈部明显增粗,气管左偏,双侧甲状腺未及明显肿大,右侧颈中部可及肿块大约4×3cm,质地硬,与周围组织紧密相连,无压痛,未及波动感。其他浅表淋巴结未触及肿大。心肺腹查体未见异常。

实验室检查 【包括病理、免疫组化或表型、细胞/分子遗传学等】

    辅助检查 :血常规正常。肝功能肝功能AT61.6U/L,AST27.9U/L,LDH490U/L。免疫球蛋白IgG14.79g/L,IgA2.27g/L,IgM0.78g/L均正常。血沉30mm/h。β2-MG2.10mg/L正常。TORCH病毒全套均阴性。EB病毒-IgM、IgG阴性HbsAg阳性,其他正常。肝炎全套:HBSAg、HBcAg、HBcAb 均阳性,乙肝病毒拷贝<1e3。HIV(-) 。
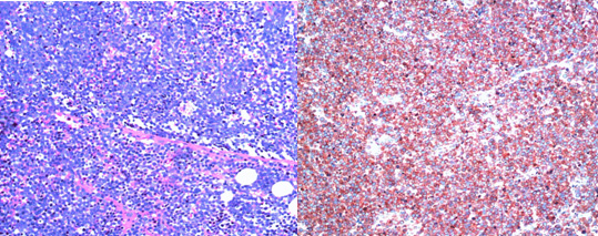
病理、免疫组化:


    淋巴结    活检病理示(右颈部淋巴结)浆细胞瘤/浆母细胞型,根据HE结合免疫组化结果考虑浆母细胞型淋巴瘤。免疫组化I10518:VS38C (+++)、CD138(++)、VIM(-)、CK(-)、Syn(-)、CD57(-)、EMA(++)、TDT(-)、LCA(-)、CD79a(-) 、HMB45(-)、CD20(-)、CD45RO(-)、CD3(-)、CD10(-)、MPO(-)、CD5(-)、D2-40(-)、CD21(-)、CD43(-)、CD56(-)、PAX5(-)、CyclinD1(-)、Ki-67(+>95%)。
    细胞和分子遗传学:FISH计数200个细胞中,P53信号未见缺失,IgH未见重排。
    异常免疫蛋白检查:免疫固定电泳未见明显异常固定带,本周蛋白阴性,免疫蛋白定量未见异常克隆性增高。
    骨髓检查 :正常骨髓像 。

影像学检查

    B超示:甲状腺右叶下方实性肿块(7.0×3.9×6.4cm),来源待定,右侧颈中部肿大淋巴结(0.7×0.4cm),右颈下部实性肿块(2.7×1.9、1.1×0.8cm等), 肝胆胰脾未见明显异常,其他浅表淋巴结无肿大。
    鼻咽喉镜:鼻咽、咽喉结构正常。
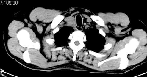
    X-Ray:上纵隔增宽,气管略偏移。颅骨、双侧肩胛骨、锁骨、肋骨和骨盆平片未见骨损害。 颈部及胸部CT:右锁骨上及前纵隔肿大淋巴结影,压迫气管,最大径约6.5cm,部分血管受侵可能。后纵隔食管周围见肿大淋巴结影压迫食管,右侧少量胸腔积液,食管中段局部管壁增厚。腹部CT:腹膜后多枚小淋巴结(最大径1cm),,胆囊炎,胆囊结石,脾肿大,前列腺钙化灶。
    ECT:未见异常放射性浓聚灶。

诊断

    HIV阴性浆母细胞性淋巴瘤(ⅡA期)

治疗经过【方案、剂量】及疗效评价【检查、评估结果】

    治疗经过:首先给予地塞米松10mg静滴两天,2010-9至2011-12给与ECHOP方案(CTX0.6g d1,2,VDS 4mg d1,里葆多60mg d1,Dex 20mg qd d1-5,VP-16 0.1 d1-3)化疗,14天/疗程,共六个疗程;2011-04至2011-05再次两个周期CHOP+DDP化疗(CTX 0.6 d1-d2,EPI 50mg d1-d2,VDS 4mg d1,Pred 50mg bid d1-d5,DDP 60mg d4-d5)。同时予恩替卡韦抗病毒治疗。
    疗效评价:
    三个疗程结束后患者呼吸困难(一个疗程后),饮食呛咳(两个疗程后)好转,但仍有声音嘶哑。颈部肿块消失,颈部彩超提示可见1.6*1.4cm,1.5*1.0cm的肿大淋巴结。颈胸腹CT:右锁骨上及前纵隔见肿大淋巴结影,气管稍受压,最大经约2.0cm(治疗前6.5cm)。后腹膜见多枚肿大淋巴结,最大经约0.6cm(治疗前2.0cm).
六个疗程结束后患者颈部肿大淋巴结明显缩小至黄豆大小,气管恢复居中,但有声音嘶哑,行电子喉镜考虑为右侧声带麻痹。颈部CT示右颈部软组织影1.8cm。浅表淋巴结彩超提示左腋窝可见1.3×0.6cm肿大淋巴结,右腋窝、双锁骨上、双颈部未见明显肿大淋巴结。
化疗前:

化疗后

随访

    2010年12月底化疗结束后出院,出院病情平稳,2011年4月出现胸壁淋巴瘤细胞浸润,颈胸+上腹部CT:上纵隔、气管右侧见占位3.0×3.2cm,气管及食管受压、移位,肝实质内多发结节灶(最大径2.4cm),考虑转移;腹膜后多枚小淋巴结;脾肿大。再次给


[1] [2] 下一页